|
 |
Home > E-Learning>
|
|
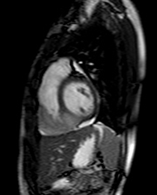
| 22yr / F, C.C. : Chest pain for 5 years, Anterior, mid-chest area, Aggravated by exercise, improved by resting, Dizziness (+), Palpitation (+) |
| Registered Date |
November, 2009 |
|
| Presenter |
by Joon Won Kang, Tae-Hwan Lim |
|
| Affiliation |
Asan Medical Center (AMC), Seoul, Korea |
|
| Category |
|
Subspecialty |
. |
|
| Classification |
|
Difficulty |
|
|
| Modality |
|
|
|